Hindlimb unilateral Sciatic Nerve Block

Productsnelzoeker

Kies een categorie of subcategorie

Indicatie

Anesthesie van de ipsilaterale achterpoot distaal van het midden van het dijbeen. Geschikt voor bijvoorbeeld knieoperaties (TPLO, TTA), artroscopie van de knie en chirurgie van de tarsus (in combinatie met femorale en obturatorische zenuwblokkades)

Heupzenuwblokkade alleen is voldoende voor operaties aan de tarsus en poot

Stap voor stap

Lokale anesthesie

Heupzenuwblokkade (zenuwstimulatie / VS)

Lokale anesthesie: Lidocain 2%, Mepivacain 2%, Bupivacain 0.5%, Ropivacain 0.75%
Begininstelling NS: 0.5 mA, 2 Hz, 0.10 ms
Naald oriëntatie: naaldinbrenging van caudaal door de semitendinosus-spier in craniale richting, "in het vlak"
Spiercontractie: tarsusflexie en -extensie 
Verlaging van de stroomsterkte: in kleine stapjes naar <0.5 mA
Correctie van de naaldstand: alleen kleine correcties, naald terugtrekken, juiste hoek, naald weer naar voren
MSC controle: om blokkades te voorkomen
Aspiratie en injectie: langzaam, Raj test, BSmart
Injectie volume: 0.1 ml/kg
(Costa-Farre et al. 2011, Campoy et al. 2010)

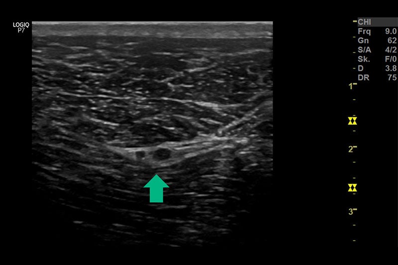
Tibial and common peroneal nerve in sheath of connective tissue (arrow)

Videos

  • Heupzenuwblokkade (zenuwstimulatie / VS)

    Injectie onder ultrasone controle in het perineurale bindweefsel

  • Heupzenuwblokkade (zenuwstimulatie / VS)

    Onjuiste spierrespons (M. biceps femoris / semitendinosus / semimembranosus)

  • Heupzenuwblokkade (zenuwstimulatie / VS)

    Juiste spierrespons (scheenbeenspier)

Disclaimer

Zoals bij elke ingreep in het lichaam, brengen ook perifere zenuwblokkades het risico van complicaties met zich mee. De gepresenteerde procedures en doseringen zijn grondig herzien en gebaseerd op momenteel beschikbare wetenschappelijke gegevens en klinische ervaring, maar dienen slechts te worden beschouwd als richtlijnen langs de inhoud van de cursus. De verantwoordelijkheid voor het uitvoeren van de op deze site getoonde zenuwblokkades als onderdeel van een anesthesieregime of pijnbestrijding ligt bij de uitvoerende clinicus. B. Braun Vet Care GmbH en Dr. Papadopoulos kunnen niet aansprakelijk worden gesteld voor eventuele complicaties of bijwerkingen die kunnen voortvloeien uit de beschreven technieken of voor eventuele fouten in de verstrekte informatie.